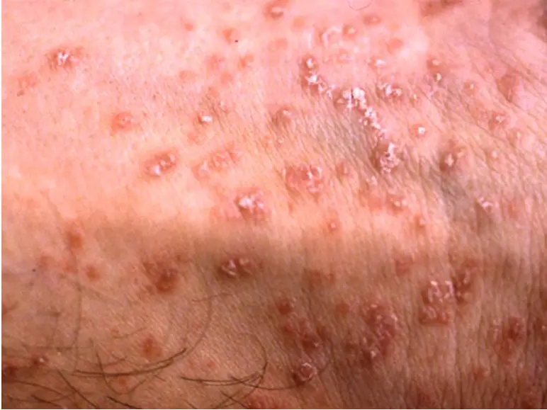
Le psoriasis est une inflammation chronique de la peau. C’est une maladie non contagieuse qui touche 2 à 3% de la population en France.

Il existe plusieurs formes de psoriasis, mais en général, cette maladie se caractérise par l’apparition de plaques rouges bien délimitées au niveau des zones de frottement de la peau comme les coudes ou les genoux, recouvertes de squames.

L’évolution de cette maladie est imprévisible. Elle n’est ni psychosomatique, ni contagieuse.

L’inflammation peut parfois impacter les articulations et provoquer un rhumatisme psoriasique.

Le psoriasis est fréquemment associé à des facteurs de risque cardio-vasculaires :

  • Hypertension artérielle
  • Diabète
  • Obésité
  • Augmentation du cholestérol et des triglycérides

Le psoriasis peut altérer considérablement la qualité de vie des patients. Actuellement, toutes les formes de psoriasis, des plus légères aux plus sévères, peuvent bénéficier d’un traitement.

Le choix du traitement tient compte de la surface de peau touchée par le psoriasis, mais aussi du retentissement du psoriasis sur la qualité de vie de la personne atteinte.

De nombreux traitements systémiques, et notamment les biothérapies,  permettent de prendre en charge de manière très efficace et sécuritaire les psoriasis modérés à sévères.

Des recommandations générales existent mais le choix d’un traitement sera personnalisé et adapté à chaque patient après un bilan préthérapeutique complet.

Les dermatologues de la Clinique Chénieux ont l’expérience de la prescription et du suivi de ces traitements systémiques depuis plus de 10 ans. Membres de la Société Française de Dermatologie, ils participent régulièrement à des congrès et formations pour tenir compte des derniers progrès thérapeutiques. Ils pourront aussi être amenés à vous faire participer à des essais cliniques.

Traitements systémiques classiques

  • Méthotrexate : agent immunosuppresseur prescrit en première intention
  • Ciclosporine : immunosuppresseur utilisé dans les épisodes aigus et autorisé chez la femme enceinte
  • Acitrétine : rétinoïde oral indiqué également dans les formes sévères et les atteintes palmoplantaires
  • PUVAthérapie : photothérapie associée à un photosensibilisant (moins utilisée aujourd’hui)

Biothérapies

Une biothérapie sera prescrite en cas d’échec, intolérance ou contre-indication à au moins deux des traitements systémiques classiques

Classe d’action Médicaments disponibles
Anti-TNF α Infliximab, Etanercept, Adalimumab, Certolizumab pegol
Anti-IL-12/23 Ustekinumab
Anti-IL-17 Secukinumab, Ixekizumab, Brodalumab, Bimekizumab
Anti-IL-23p19 Guselkumab, Risankizumab, Tildrakizumab

 

  • Les anti-IL-17 et anti-IL-23p19 sont actuellement les plus prescrits en première ligne de biothérapie
  • La sélection du traitement se fait selon le profil du patient, la comorbidité et la balance bénéfice/risque. La prise en charge du psoriasis modéré à sévère se fait toujours sous surveillance spécialisée, selon les actualités récentes et recommandations nationales.
  • Pour l’enfant/adolescent (dès 6 ans): Adalimumab, Etanercept, Ustekinumab, Secukinumab, Ixekizumab, peuvent être envisagés.

Dermatologie Chirurgicale

Dermatologie esthétique

Dermatologie médicale